Abfração dental: quais as causas e tratamentos dessa lesão?
A saúde bucal desempenha um papel fundamental em nossa qualidade de vida, influenciando não apenas nossa capacidade de mastigar e falar, mas também nossa autoestima e bem-estar geral. No entanto, mesmo com cuidados regulares, podem surgir condições que afetam nossos dentes e gengivas. Uma delas é a abfração dental, uma lesão que muitas vezes passa despercebida, mas pode ter consequências significativas para a saúde bucal em longo prazo.
Neste texto, exploraremos em detalhes as causas por trás da abfração dental, seus sintomas e, o mais importante, as opções de tratamento disponíveis para lidar com essa condição. Compreender esses aspectos não apenas aumenta a conscientização sobre os desafios que envolvem a saúde bucal, mas também capacita indivíduos a tomar medidas preventivas e corretivas para manter seus sorrisos radiantes e saudáveis.
Continue a leitura e confira!
O que é abfração dental?
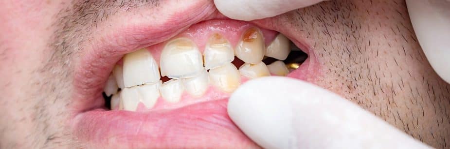
A abfração dental é uma condição odontológica caracterizada pela perda gradual de tecido dental próximo à linha da gengiva, resultando em uma lesão específica nos dentes. Essa lesão assume a forma de um pequeno entalhe ou chanfrado na parte cervical da dentição, onde o esmalte dentário começa a ceder e a se desgastar.
Visivelmente, a abfração dental se manifesta como uma pequena depressão em forma de cunha perto da junção entre o esmalte dentário e a gengiva. Essa área geralmente apresenta um aspecto mais escurecido em comparação com o restante do dente, devido à exposição da dentina subjacente, que é mais porosa e amarelada.
Identificar a abfração dental precocemente é essencial para evitar danos adicionais aos dentes e gengivas. Ao compreender as causas subjacentes e a aparência característica dessa lesão, os pacientes podem procurar tratamento adequado e adotar medidas preventivas para manter a saúde bucal em longo prazo.
Quais são as causas da abfração dental?
A abfração dental pode ser causada por uma combinação de fatores. Confira alguns dos principais.
Mastigação unilateral
Mastigar predominantemente com um lado da boca pode causar desequilíbrios nas forças exercidas nos dentes, resultando em tensões assimétricas que podem levar à abfração dental.
Bruxismo
O hábito de ranger os dentes, conhecido como bruxismo, cria pressões excessivas nos dentes, especialmente durante o sono. Esse estresse repetitivo pode enfraquecer o esmalte dentário e contribuir para a formação da abfração.
Roer unhas
Roer unhas é uma ação repetitiva que transmite forças indesejadas aos dentes. Essas forças podem resultar em microfraturas no esmalte e no desenvolvimento da lesão de abfração.
Má escovação
A escovação excessivamente agressiva, com cerdas duras ou o uso de técnicas inadequadas, pode contribuir para o desgaste do esmalte próximo à linha da gengiva.
Má oclusão
Problemas de mordida ou má oclusão podem causar distribuição inadequada das forças mastigatórias, aumentando o risco de abfração dental.
Forças oclusais
Forças oclusais excessivas, causadas por restaurações dentárias mal ajustadas ou restaurações em excesso, podem levar ao desgaste do esmalte e à formação de abfração.
Inflamação gengival
Gengivas inflamadas podem alterar a relação entre os dentes e as forças de mastigação, contribuindo indiretamente para a abfração.
Além da deterioração estética do dente, a abfração dental pode causar sensibilidade dentinária, dor ou desconforto ao morder, levando até mesmo a fraturas dentárias em casos mais graves. É importante buscar tratamento para evitar a progressão da lesão e aliviar quaisquer sintomas associados.
Qual o tratamento mais indicado para a abfração dental?
A abordagem terapêutica para tratar as abfrações dentais é altamente adaptativa, sendo moldada pela intensidade da lesão e outras características individuais. Diversas estratégias podem ser implementadas para alcançar resultados eficazes, sempre considerando a gravidade do problema como fator determinante. Veja a seguir mais detalhes sobre cada uma delas.
Restaurações dentárias
Restaurações de resina composta ou coroas podem ser utilizadas para preencher o chanfrado e fortalecer a estrutura dental comprometida.
Ajuste da oclusão
Corrigir a mordida por meio de ajustes dentários ou dispositivos como placas de mordida pode ajudar a redistribuir as forças de mastigação.
Controle do bruxismo
Em casos de bruxismo, o uso de placas de mordida durante a noite pode ajudar a proteger os dentes do ranger e minimizar o desgaste.
Quais cuidados tomar para evitar essa lesão?
Para evitar a abfração dental e manter uma saúde bucal ótima, é importante adotar uma série de cuidados preventivos. Aqui estão algumas medidas que podem ajudar a prevenir o desenvolvimento dessa lesão.
Manter uma escovação adequada
Use uma escova de dentes com cerdas macias e adote uma técnica suave de escovação. Evite escovar com muita força, especialmente na região próxima à linha da gengiva.
Usar o creme dental correto
Escolha um creme dental que contenha flúor para fortalecer o esmalte dentário. Evite pastas muito abrasivas, que podem desgastar o esmalte.
Passar fio dental regularmente
Use fio dental diariamente para remover resíduos de alimentos e placa bacteriana entre os dentes, ajudando a prevenir problemas gengivais e a preservar a saúde da gengiva.
Evitar hábitos prejudiciais
Abandone hábitos como roer unhas, mascar objetos duros ou morder lápis, pois essas ações podem colocar pressão excessiva nos dentes.
Mastigar de forma equilibrada
Tente mastigar alimentos dos dois lados da boca para distribuir uniformemente as forças mastigatórias e evitar sobrecarregar um lado específico.
Fazer visitas regulares ao dentista
Realize consultas odontológicas de rotina a cada seis meses. Seu dentista pode identificar problemas precoces e fornecer orientações específicas para sua situação bucal.
Ter uma alimentação saudável
Tenha uma dieta equilibrada, rica em vitaminas e minerais essenciais para a saúde dental, como cálcio e vitamina D.
Limitar o consumo de alimentos ácidos
Limite o consumo de alimentos e bebidas ácidos, pois eles podem enfraquecer o esmalte dentário.
Investir em boas práticas de higiene bucal
Além de escovar e usar fio dental, considere enxaguar a boca com um enxaguante bucal sem álcool para ajudar a combater bactérias e manter a boca saudável.
Lembre-se de que a prevenção é a chave para evitar uma série de problemas dentários, incluindo a abfração dental. Ao adotar esses cuidados e manter uma rotina consistente de higiene bucal, você contribuirá significativamente para a saúde e a longevidade dos seus dentes.
E aí? Curtiu a publicação sobre a abfração dental? Então, compartilhe a sua opinião na seção de comentários!


![[RC] Prótese dentária | Sorria com confiança! Faça já uma avaliação](https://blogodontocompany.com/wp-content/uploads/2020/05/protese.png)